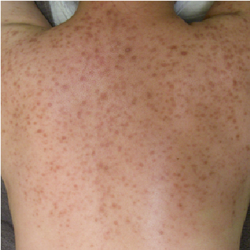
症例09
◆背中上部 20代女性 美容業
治療内容
- ・ニキビ治療(PDT)
クリニックからのコメント
学生の頃から背中のニキビに悩んでおられ、様々な皮膚科に行って治療をしたが、改善されなかったそうです。ホームページの症例写真を見て、メディアージュを受診されました。
今までは、背中を見られることにコンプレックスがあり、洋服を選ぶのもすごく慎重に、また友達と出掛けるときも海など背中を出すような場所は自然と避けてしまっていたとの事でした。患者様ご自身は美容系のお仕事をしておられたので、PDT治療中は自宅でのケアもしっかり行って頂いていました。そのため、ニキビだけではなく、ニキビ跡の改善も早く進みました。
今後、ニキビ跡の治療を継続して行っていきます。
肩のあたりのニキビがなかなか改善しなかったためやや時間がかかりましたが、最終的には右の写真のように一部ニキビ跡を残して改善しています。基本的に保険治療であれば適応となる薬も限られているため、クリニックを変えても処方される薬に大差なく、あまり意味がありません。今までの治療でなかなか効果が見られないようであれば、早めの当院での受診をお勧めします。
治療の費用
| ニキビ治療(PDT) | 背中 上部 |
1回 | ¥52,800 |
| 3週間以内 | ¥31,680 |
※全て税込価格となります。
注意事項
- ・治療後、赤みや腫れが出現し数日続くことがありますが、時間と共にひいていきますのでご安心ください。
- ・治療過程で、表面に見えるニキビが増えることがありますが、好転反応として正常な反応のひとつで一時的なものです。
-
自宅治療について
『自宅ケア』は、
完治を迎えるための大切な治療の一環ニキビを確実に治す上で、毎日の自宅ケアの役割はとても重要です。
薬や施術の効果を最大限に発揮させるには、そして完治に至るまでに肌状態を安定させるためには、日々のスキンケアあってこそです。
一般的には正しいケアが、今の症状に対して正しいケアとは限りません。
Drの目が届かない日々のケアも、治療の一環だと考え、患者様に細かく指導させていただいています。 -
保護者の方へ
お子様のニキビの悩みは、保護者様にとっての悩みでもあります。
皮膚科で処方される抗生剤・アダパレンなどの外用薬、またビタミン剤や漢方薬などの内服薬、さらにはケミカルピーリング・光による殺菌ニキビ治療などのさまざまなニキビ治療を受けたのに・・・。
評判のよい化粧水・クリーム・洗顔なども使用してきたのに・・・。
それでもニキビが良くならない、治らない、どんどんひどくなってしまって・・・。ちょっと良くなったと思ったらまた出来て繰り返してしまう。
一生このままなのだろうか。見守っていらっしゃる保護者の方々の大きな心配は当然ながら、お子様はひそかにそれ以上に悩まれているかもしれません。
ニキビ治療では、当然上記のような治療で良くなる方もたくさんおられますし、それはそれで素晴らしいことです。ただ、上記のような治療でぜんぜん良くならない方々も実際はたくさんおられます。
我々は、このような“他の治療で治らないニキビ”で悩まれている方に対して、真摯に向き合って治療を行ってきました。お子様の“そのニキビ”が治らないのには理由があり、その根本理由からアプローチできる治療がPDTです。
いつでも、お子様とご一緒にご相談・ご来院ください。
お知らせ
- 2025.7.19
-
▽ 「メディカルノート」に富島理事長のインタビュー記事が掲載されました。
>詳しくはこちらをご覧ください。
- 2025.5.1
-
▽ 5月27日(火)〜28日(水)は終日社員研修のため休診とさせていただきます。
ご理解のほどどうぞよろしくお願い致します。
- 2025.1.1
-
・・ご挨拶・・
新年、明けましておめでとうございます。
旧年中は格別のご愛顧と支援を承り
厚く御礼申し上げます。
本年も、メディアージュクリニックスタッフ一同
さらに努め精進して参ります。
変わらぬご愛顧のほど
よろしくお願い申し上げます。
- 2024.12.1
-
▽ 東京院:年末の診療は12月29日(日)20:00までとなります。
新年は1月4日(土)
10:00より開院いたします。
大阪院:年末の診療は12月29日(日)20:00までとなります。
新年は1月4日(土)
11:00より開院いたします。
福岡院:年末の診療は12月29日(日)20:00までとなります。
新年は1月4日(土)
11:00より開院いたします。
-
東京院
/恵比寿・代官山
東京都渋谷区恵比寿西1-12-12
ルネスE.B.I 6FTEL:0120-915-028
診療時間:平日11:00〜20:00
土日祝10:00〜20:00
土日祝日も診療
(休診日:水曜日)東京院/恵比寿・代官山
〒150-0021
東京都渋谷区恵比寿西
1-12-12ルネスE.B.I 6F診療時間 月 火 水 木 金 土 日 11:00
~
20:00○ ○ × ○ ○ 10時
開院○10時
開院○ -
大阪院
/大阪梅田
大阪市北区曽根崎新地1-3-19
北新地ビルディング6FTEL:0120-656-668
診療時間:11:00〜20:00
土日祝日も診療
(休診日:水木)大阪院/梅田
〒530-0002
大阪市北区曽根崎新地
1-3-19 北新地ビルディング6F診療時間 月 火 水 木 金 土 日 11:00
~
20:00○ ○ × × ○ ○ ○ -
福岡院
/博多駅前
福岡県福岡市博多区博多駅前
2-17-1
博多プレステージ別館6FTEL:0120-969-287
診療時間:10:00〜20:00
土日祝日も診療
(休診日:なし)福岡院/博多駅前
〒812-0011
福岡県福岡市博多区博多駅前
2-17-1
博多プレステージ別館6F診療時間 月 火 水 木 金 土 日 10:00
~
20:00○ ○ ○ ○ ○ ○ ○





